За молочным зубом растет постоянный но криво.

Всё о нашем здоровье

Модератор: LaLuna

Аватара пользователя
Автор темы
liliya
Всего сообщений: 7083
Зарегистрирован: 28.07.2015
Сыновей: 1
Приёмные: есть
Откуда: Санкт-Петербург
 За молочным зубом растет постоянный но криво.

Сообщение liliya »

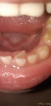
Опытные мамы, подскажите что делать? Вчера ребёнок обрадовал меня что у него зашатался первый зуб! Я заглянула, а там такое. Получается что постоянный вылез уже, и вот так криво! Как это теперь исправить? Ортодонт? А что он делает? Долго это? Больно? И ведь регулярно стоматолога посещаем, в последний раз были меньше месяца назад, зуб лечили
Летом полный снимок делали, все нормально было. И вот такое 😭. Молочный этот удалять срочно или что?
За молочным зубом растет постоянный но криво. - 20211115_064110.jpg
Желание заставляет нас действовать. Страдание- заставляет разрушать. Страх-творить.
Реклама
Аватара пользователя
Анатомия
Всего сообщений: 1726
Зарегистрирован: 01.07.2019
Дочерей: 3
Приёмные: есть
Кровные: есть
Образов.: высшее
 Re: За молочным зубом растет постоянный но криво.

Сообщение Анатомия »

liliya, у нас такое было. Молочный удалили, коренной выпрямился. Стоматолог сказал делать упражнения: языком "толкать" коренной зуб в нужную сторону
Аватара пользователя
Анатольевна
Всего сообщений: 58761
Зарегистрирован: 01.01.2013
Приёмные: есть
Кровные: есть
Образов.: высшее педагогическое
Откуда: тёплые края
 Re: За молочным зубом растет постоянный но криво.

Сообщение Анатольевна »

Удалить молочный для начала. Ортодонт ставит пластины когда уже есть коренные зубы в нижнем и верхнем ряду (ну нам так сказал по крайней мере)
ЕкатеринаИванова
Всего сообщений: 2450
Зарегистрирован: 12.12.2020
 Re: За молочным зубом растет постоянный но криво.

Сообщение ЕкатеринаИванова »

liliya, идти к стоматологу срочно, это точно.
Молочный зуб на удаление - тоже срочно и точно.
А с остальным - будут ждать, пока все зубы не сменятся.
Аватара пользователя
Автор темы
liliya
Всего сообщений: 7083
Зарегистрирован: 28.07.2015
Сыновей: 1
Приёмные: есть
Откуда: Санкт-Петербург
 Re: За молочным зубом растет постоянный но криво.

Сообщение liliya »

Анатомия: 15 ноя 2021, 09:19 Молочный удалили, коренной выпрямился.
долго выправлялся?
Желание заставляет нас действовать. Страдание- заставляет разрушать. Страх-творить.
Аватара пользователя
Анатомия
Всего сообщений: 1726
Зарегистрирован: 01.07.2019
Дочерей: 3
Приёмные: есть
Кровные: есть
Образов.: высшее
 Re: За молочным зубом растет постоянный но криво.

Сообщение Анатомия »

liliya, не помню точно, наверное, несколько месяцев. Сейчас не отличить и не найти, какой зуб так рос. Было в точности, как у Вас на фото. Но удалять мы сразу побежали
Аватара пользователя
Автор темы
liliya
Всего сообщений: 7083
Зарегистрирован: 28.07.2015
Сыновей: 1
Приёмные: есть
Откуда: Санкт-Петербург
 Re: За молочным зубом растет постоянный но криво.

Сообщение liliya »

ЕкатеринаИванова: 15 ноя 2021, 09:20 к стоматологу срочно, это точно.
пойдем по любому сегодня, думаю, должны по срочному случаю принять. иначе придется ждать до пятницы. у нас, в глуши так, к детскому стоматологу талоны дают один раз в неделю по пятницам.

Отправлено спустя 2 минуты 4 секунды:
Анатомия: 15 ноя 2021, 09:23 Сейчас не отличить и не найти, какой зуб так рос. Было в точности, как у Вас на фото.
чуть полегчало ))) сама с зубами намучалась, не хочу чтобы сын так мучался. сегодня пол ночи не спала, переживала :oops:
Желание заставляет нас действовать. Страдание- заставляет разрушать. Страх-творить.
Аватара пользователя
Анатомия
Всего сообщений: 1726
Зарегистрирован: 01.07.2019
Дочерей: 3
Приёмные: есть
Кровные: есть
Образов.: высшее
 Re: За молочным зубом растет постоянный но криво.

Сообщение Анатомия »

liliya: 15 ноя 2021, 09:28 чуть полегчало )
Понимаю. Я тогда тоже перепугалась.))
Аватара пользователя
MariNF
Всего сообщений: 1939
Зарегистрирован: 23.07.2016
Дочерей: 1
Приёмные: есть
Кровные: нет
Образов.: высшее
Откуда: Татарстан
 Re: За молочным зубом растет постоянный но криво.

Сообщение MariNF »

А я только в 18 лет свой обнаружила. Уже поздно. Улыбаюсь, А как будто зуба нет, А он там далеко.
Аватара пользователя
Rara_Avis
Всего сообщений: 22054
Зарегистрирован: 21.02.2015
Дочерей: 1
Приёмные: есть
Образов.: высшее педагогическое
 Re: За молочным зубом растет постоянный но криво.

Сообщение Rara_Avis »

liliya, у дочери регулярно так происходит - молочные через один сами не выпадают, пока спохватишься, постоянный уже прорезался. Внизу две двойки сами разворачиваются - в зубной ряд уже встали, но ровно не до конца развернулись, под углом еще. Ортодонт говорит, что выровняются еще, мол, пока с ними не надо ничего делать. Процесс небыстрый - несколько лет. На верхние зубы носит пластинку с февраля - тоже постоянным зубам места мало, обе двойки сильно назад ушли и прикус мезиальный. Процесс болезненный только для кошелька, особенно, если в частной клинике. Мы в муниципальной, платим только за пластинку, но ее дважды переделывали уже. Дискомфорт она, конечно, доставляет поначалу и после подкручивания, но привыкаешь быстро. Я сама носила в детстве года два с половиной.
Я вообще добрая. Когда не злая. ©
Ответить Пред. темаСлед. тема
  • Похожие темы
    Ответы
    Просмотры
    Последнее сообщение
  • Растет дочка, растёт сын
    Минутка » » в форуме Давайте познакомимся
    110 Ответы
    9465 Просмотры
    Последнее сообщение Яшка
  • Постоянный страх и тревога за ребёнка. Принимаю идеи для расслабления =)
    Бегущая_По_Волнам » » в форуме Школа родителей
    43 Ответы
    7097 Просмотры
    Последнее сообщение Sandralynx
  • В стране растет уровень ЗАВИСИМОГО поведения
    Маланья » » в форуме Трудный случай
    5 Ответы
    2710 Просмотры
    Последнее сообщение Anna13

Вернуться в «Наше здоровье»